musculoesquelético
Paciente grabando su entrenamiento con el producto

Ultrasonido portátil para el sistema musculoesquelético

Una evaluación rápida puede ayudarle a que sus pacientes vuelvan a la acción

Use el ultrasonido manual Lumify para el sistema musculoesquelético para detectar lesiones de tejidos blandos con imágenes de alta definición de los músculos, las articulaciones, los ligamentos, los tendones y los cartílagos.

Lumify está listo cuando usted lo está

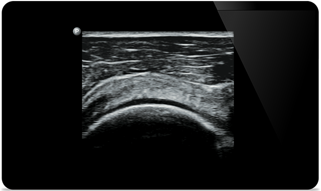
Iniciar el tratamiento con un diagnóstico preciso

Iniciar el tratamiento con un diagnóstico preciso

Lumify le ayuda a ver los detalles finos de los músculos, las articulaciones, los ligamentos, los tendones y los cartílagos para hacer un diagnóstico más preciso de las lesiones.

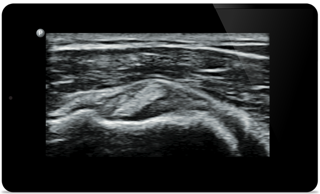
Responda rápidamente con imágenes de todo el cuerpo

Responda rápidamente con

imágenes de todo el cuerpo

Lumify puede ayudarle a evaluar a los pacientes de la cabeza a los pies, ya sea fascitis plantar, tendinitis o bursitis en el tendón rotuliano, o incluso inestabilidad del hombro en el manguito rotador.

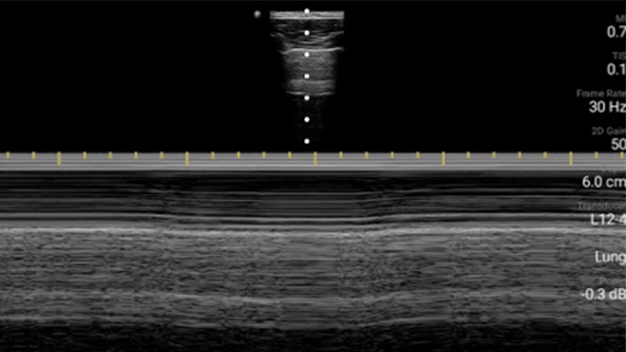
Obtenga la claridad de los sistemas de ultrasonido más grandes con Lumify

Obtenga la claridad de los sistemas de ultrasonido más grandes con Lumify

SonoCT refuerza la obtención de imágenes de tejidos reales a la vez que elimina los artefactos aleatorios. Esta tecnología produce imágenes superiores a las imágenes convencionales en hasta el 94 % de los pacientes.

Qué piensan los líderes de la industria sobre Lumify

Compruébelo usted mismo
 

Obtenga una imagen completa y clara de todo el cuerpo para una respuesta rápida y precisa durante los exámenes MSK.

Transductores Lumify para MSK

Transductor de banda ancha

Transductor de matriz lineal de banda ancha Lumify L12-4

• Rango extendido de frecuencias de operación entre 12 y 4 MHz
• Tamaño de apertura: 34 mm
2D, Doppler  orientable a color, Modalidad M, XRES avanzado e imágenes armónicas multivariables, SonoCT
• Imágenes de alta resolución para aplicaciones superficiales: tejidos blandos, vasculares, superficiales, musculoesqueléticos y pulmonares
• Marcador de línea de centro
• Transductor USB-C con cable reemplazable

Transductor curvo

Transductor Lumify de matriz curva de banda ancha C5-2

• Rango extendido de frecuencias de 5 a 2 MHz

• Radio de curvatura de 50 mm

• 2D, Doppler a color, Modalidad M, XRES avanzado e imágenes armónicas multivariables, SonoCT

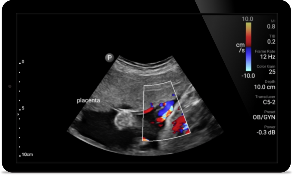
• Imágenes de alta resolución para aplicaciones más profundas: optimizaciones preestablecidas de imágenes abdominales, de vesícula biliar, gineco-obstétricas y pulmonares

Vea más cuando realmente importa

Desde revelar los detalles sutiles de una imagen hasta descubrir la definición del tejido enriquecido desde múltiples ángulos, Lumify puede ayudarlo a tomar decisiones en tiempo real con más confianza desde la evaluación hasta la recuperación.

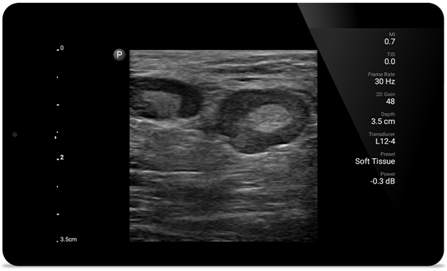
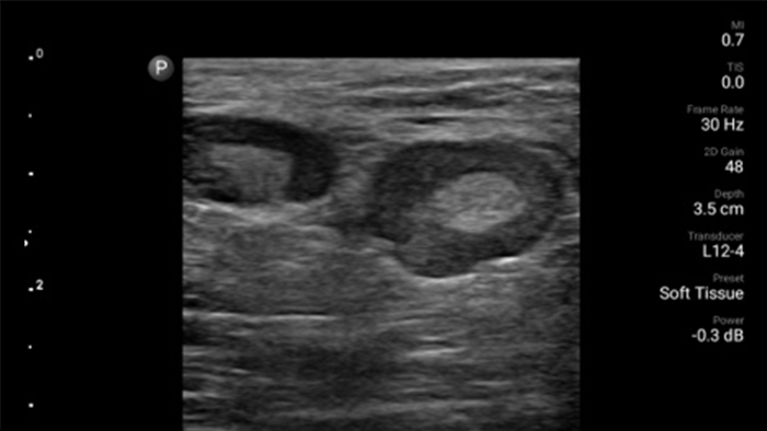
Imagen de ejemplo de caso de Padstatic
Imagen de ejemplo de caso de Padstatic

Vea más cuando realmente importa

Desde revelar los detalles sutiles de una imagen hasta descubrir la definición del tejido enriquecido desde múltiples ángulos, Lumify puede ayudarlo a tomar decisiones en tiempo real con más confianza desde la evaluación hasta la recuperación.

Descubra cómo funciona Lumify para el sistema musculoesquelético 

Paciente recibiendo su tratamiento

Video

Artrocentesis de rodilla
guiada por ultrasonido

Teléfono junto al producto Lumify

Caso de estudio

Desgarro del tendón supraespinoso

Paciente recibiendo tratamiento

Guía rápida

Artrocentesis de cadera guiada por ultrasonido

Siempre estamos interesados en relacionarnos con usted

Háganos saber cómo podemos ayudar

1
Seleccione su área de interés
2
Detalles de contacto

You are about to visit a Philips global content page

Continue

You are about to visit a Philips global content page

Continue

Nuestro sitio se puede visualizar mejor con la última versión de Microsoft Edge, Google Chrome o Firefox.