Resonancia magnética

Imágenes por RM a la velocidad correcta,en todo momento


Compressed SENSE

    En una sociedad en la que los reembolsos son cada vez menos cuantiosos y las enfermedades crónicas se traducen en un aumento de los procedimientos de RM y en tiempos de espera más largos, los servicios de radiología se ven sometidos a una presión cada vez mayor. La aceleración pone en riesgo la calidad de la imagen o bien se puede aplicar a todo el espectro de las exploraciones rutinarias. Por lo tanto, para satisfacer la creciente demanda de productividad, todavía es necesario dar un paso adelante más en cuanto a la aceleración. Aprovechando nuestra dilatada posición de liderazgo en el ámbito de la velocidad (de la mano de SENSE), Philips presenta Compressed SENSE, un avance en términos de productividad.

    ¿Cómo puede beneficiarse de Compressed SENSE?


    • Se puede usar con todos los contrastes y con todas las regiones anatomías.

    • Es una innovadora técnica de aceleración que no solo permite agilizar las secuencias, sino todo el estudio.

    • Implementación especial con la que las exploraciones en 2D y 3D pueden llegar a ser hasta un 50% más rápidas con una calidad de imagen prácticamente equivalente.1

    Las ventajas de Compressed SENSE en términos de velocidad 

    Lo que opinan los clientes acerca de Compressed SENSE

    Queremos reducir los tiempos de adquisición, pero con la misma calidad de imagen".

    Sabine Sartoretti, doctora en medicina, jefa del Servicio de Neurorradiología, Instituto de Radiología y Medicina Nuclear. Winterthur, Suiza .

    Compressed SENSE aumenta la eficiencia de las exploraciones gracias a tiempos de exploración reducidos que no afectan a la calidad de la imagen".

    Sachi Fukushima, radióloga, Hospital Central Kurashiki, Japón.

    Casos clínicos de otros profesionales médicos con Compressed SENSE

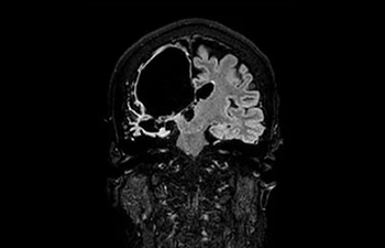
    Cerebro

    Lesión cerebral

    con Compressed SENSE

    Columna.

    Estenosis de la columna lumbar

    con Compressed SENSE

    Cabeza y cuello

    Lesiones de los ganglios linfáticos

    con Compressed SENSE

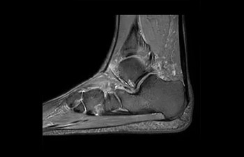
    Sistema musculoesquelético

    Tobillo

    con Compressed SENSE

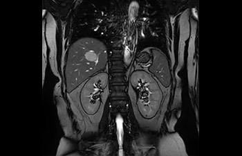
    Tronco

    Hemangioma hepático.

    con Compressed SENSE

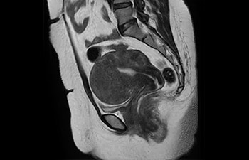
    Pelvis

    Pelvis de mujer con mioma

    con Compressed SENSE

    Mama

    Imágenes de mama

    con Compressed SENSE

    Cardio

    Imágenes de cardiología

    con Compressed SENSE

    ¿Necesita más información sobre Compressed SENSE? Nos pondremos en contacto con usted lo antes posible.

    Dr. Jan W. Casselman

    Seminario (en inglés) web bajo demanda:
    Compressed SENSE

    Dr. Jan W. Casselman

    Director del servicio de radiología del A.Z. Sint-Jan Hospital, Brujas, Bélgica, especialista en radiología de cabeza y cuello en el A.Z. Sint Augustinus Hospital, Amberes, Bélgica

    Un cambio de paradigma en la productividad

    Un cambio de paradigma en la productividad

     

    Obtenga más información acerca de los principios básicos de Compressed SENSE y de cómo introduce un cambio de paradigma en la productividad, cómo se diseñó Compressed SENSE bajo la premisa de la calidad de imagen y cómo impulsa la productividad en las imágenes clínicas por RM.

    Descargas

    NetForum

    Descargar protocolos en formato de ExamCards

    ExamCards

    Catálogo de Compressed SENSE

    La velocidad correcta, en todo momento.

    Catálogo de Compressed SENSE

    Productos 
    relacionados

    Ambition

    Excelencia en el servicio cotidiano de RM: sin helio.

    Ingenia Ambition 1.5T

    El nuevo Ingenia Ambition de Philips ofrece modernas técnicas de imagen por RM para ayudarle a conseguir los mejores resultados clínicos, día tras día. Esta solución, basada en el nuevo y revolucionario imán BlueSeal, completamente aislado, le permite realizar operaciones de RM sin helio más productivas2.

    Elition

    Un avance revolucionario en calidad diagnóstica, y en velocidad

    Ingenia Elition 3.0T

    La nueva solución Philips Ingenia Elition ofrece técnicas innovadoras de RM, creando nuevos senderos para la investigación clínica en imágenes de 3,0 T mediante nuevos diseños de gradientes y RF.

    Prodiva

    Un flujo de trabajo revolucionario que ofrece velocidad y productividad

    Ingenia Prodiva 1.5T

    El nuevo Ingenia Prodiva 1.5T de Philips presenta una metodología muy intuitiva para ofrecer exploraciones rápidas de alta calidad en una gran variedad de aplicaciones avanzadas y pone de manifiesto su valor desde el primer día.

    Productos relacionados

    Ambition

    Excelencia en el servicio cotidiano de RM: sin helio.

    Ingenia Ambition 1.5T

    El nuevo Ingenia Ambition de Philips ofrece modernas técnicas de imagen por RM para ayudarle a conseguir los mejores resultados clínicos, día tras día. Esta solución, basada en el nuevo y revolucionario imán BlueSeal, completamente aislado, le permite realizar operaciones de RM sin helio más productivas2.

    Elition

    Un avance revolucionario en calidad diagnóstica, y en velocidad

    Ingenia Elition 3.0T

    La nueva solución Philips Ingenia Elition ofrece técnicas innovadoras de RM, creando nuevos senderos para la investigación clínica en imágenes de 3,0 T mediante nuevos diseños de gradientes y RF.

    Prodiva

    Un flujo de trabajo revolucionario que ofrece velocidad y productividad

    Ingenia Prodiva 1.5T

    El nuevo Ingenia Prodiva 1.5T de Philips presenta una metodología muy intuitiva para ofrecer exploraciones rápidas de alta calidad en una gran variedad de aplicaciones avanzadas y pone de manifiesto su valor desde el primer día.

    1 En comparación con las exploraciones de Philips sin Compressed SENSE. Los resultados de estudios de unos casos no predicen los resultados de otros casos. Estos pueden variar.
    2 Con la tecnología Compressed SENSE y comparado con estudios de Philips realizados sin Compressed SENSE

    Siempre estamos interesados en relacionarnos con usted

    Háganos saber cómo podemos ayudar

    1
    Seleccione su área de interés
    2
    Detalles de contacto

    You are about to visit a Philips global content page

    Continue

    You are about to visit a Philips global content page

    Continue

    Nuestro sitio se puede visualizar mejor con la última versión de Microsoft Edge, Google Chrome o Firefox.