Ultrasonidos con contraste

Ultrasonidos con contraste (CEUS)

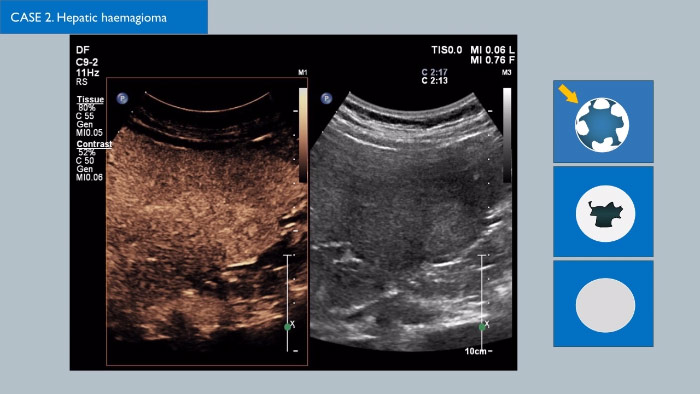
Los agentes de contraste para ultrasonidos pueden transformar el papel que desempeñan los ultrasonidos, pues permiten que los profesionales sanitarios estudien los patrones de mejora de las lesiones hepáticas en tiempo real, lo que ofrece la posibilidad de realizar diagnósticos más definitivos y rápidos.

Con los ultrasonidos de Philips, los ultrasonidos con contraste se integran a la perfección en el flujo de trabajo normal y proporcionan un nivel de detalle excepcional en exploraciones de la fase arterial, portal y tardía.  Además, gracias a tecnologías avanzadas como MaxVue, el transductor PureWave C9-2, las imágenes de fusión, la cuantificación integrada mediante las Q-App de Philips y la solución hepática definitiva, ya es posible sentir una seguridad total incluso en las exploraciones más complicadas. Soluciones innovadoras como la tecnología xMATRIX 3D/4D también pueden dar un giro a la evaluación de las lesiones hepáticas, pues proporcionan un método rápido y eficaz de visualizar los vasos nutricios y la respuesta al tratamiento.  Existen multitud de avances fascinantes en el campo de los CEUS; haga clic en el enlace para ponerse en contacto con su representante local de Philips.

¿Desea ponerse en contacto con un agente comercial o solo estar informado?

Rellene el formulario y se pondrán en contacto con usted.

Recursos de ultrasonidos con contraste

Fiabilidad del diagnóstico en pacientes que plantean dificultades técnicas

Mayor fiabilidad del diagnóstico en pacientes que plantean dificultades técnicas.

 

Descubra cómo lograr los mayores grados de fiabilidad, incluso con los pacientes más complicados.

Sinergias en ultrasonidos

Sinergias en ultrasonidos

 

El profesor Dirk-André Clevert, del Hospital Universitario de Múnich, deposita su confianza en Philips para adquirir imágenes con contraste del abdomen.

Fusión de imágenes

El registro automático aporta nuevos niveles de simplicidad a la fusión de imágenes, impulsando de este modo la mejora de los cuidados del paciente

 

Descubra cómo la adquisición de imágenes de fusión con registro automático puede tener un efecto positivo en sus procedimientos de CEUS.

Vídeo de ultrasonidos con contraste

Ultrasonidos con contraste: aplicación práctica

 

La Dra. Teresa Fontanilla, doctora en medicina del Hospital Universitario Puerta de Hierro de Majadahonda, Madrid, habla acerca de su experiencia con la adquisición de imágenes CEUS en un sistema de ultrasonidos Philips.

Encuentre los transductores adecuados para su sistema

Encuentre el transductor apropiado para su sistema

 

Nuestra amplia gama de transductores, ergonómicos y ligeros, está disponible en diversas configuraciones y ofrecen una mejor penetración con un menor número de artefactos. Más abajo dispone de más información acerca de toda nuestra gama de transductores, así como instrucciones detalladas acerca de su cuidado y mantenimiento.

Queremos conocer su opinión.

Facilítenos algunos datos y enviaremos su pregunta a la persona apropiada. Nos volveremos a poner en contacto con usted lo antes posible.

Información de contacto

* Este campo es requerido

*

Detalles de contacto

*
*
*

Detalles de la compañía

*
*
*

Ampliaciones de la gama de ultrasonidos

Icono cardiovascular

Cardiovascular

Icono de imágenes generales

Imágenes generales

Icono de obstetricia y ginecología

Obstetricia/
ginecología

Icono de punto de cuidados

Punto de cuidados

*

Información de contacto

* Este campo es requerido

*
*
*
*
*
*
*
*
*

Al especificar su motivo de contacto podremos ofrecerle un mejor servicio.

We work with partners and distributors who may contact you about this Philips product on our behalf.

*
*

Final CEE consent

You are about to visit a Philips global content page

Continue

You are about to visit a Philips global content page

Continue

Nuestro sitio se puede visualizar mejor con la última versión de Microsoft Edge, Google Chrome o Firefox.