Nuestra suite vascular ofrece opciones de flujo de trabajo, herramientas de intervención especializadas y una amplia selección de dispositivos vasculares avanzados para mejorar la eficiencia del procedimiento y redefinir los resultados para sus pacientes con enfermedad aórtica. Respaldan cada paso del procedimiento, a medida que decide, guía, trata y confirma los resultados del tratamiento.

SmartCT Soft Tissue es una técnica de adquisición de rayos X que genera una visualización similar a una TC de tejido blando en relación con otras estructuras durante los procedimientos, todo controlado a través de la pantalla táctil en la mesa. Puede utilizar las imágenes similares a la TC para evaluar el tejido blando, la estructura ósea y la implementación del stent antes, durante y después de los procedimientos de intervención. Esta técnica es particularmente útil para comprobar si hay complicaciones después de procedimientos (complejos) de reparación endovascular de aneurismas (REVA).

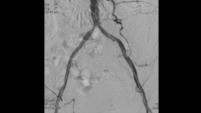
VesselNavigator proporciona una hoja de ruta 3D, intuitiva y continua, basada en conjuntos de datos de la angiografía por tomografía computarizada (ATC) y la angiografía por resonancia magnética (ARM) existentes para guiarlo a través de la vasculatura durante los procedimientos aórticos. En un estudio se demostró un promedio de 170 ml de reducción del contraste durante la reparación endovascular de aneurismas aórticos complejos con el uso de la guía de fusión de imágenes de la ATC de VesselNavigator.1 En otro estudio se mostró una reducción en el tiempo promedio del procedimiento de 6,3 a 5,2 (1,1) horas durante la FEVAR/BEVAR con la guía de fusión de imágenes de la ATC de VesselNavigator.2
Después de un mes de uso, hemos pasado el punto en el que el valor clínico de VesselNavigator supera la inversión que hicimos”.
Prof. Dr. F. Vermassen
Hospital Universitario de Gante

Esta es solo una de las muchas mejoras en el rendimiento del laboratorio logradas por el Departamento vascular intervencionista del Hospital St. Antonius después de instalar el sistema Azurion. En el primer estudio de rendimiento del laboratorio con Azurion se lograron resultados impresionantes; esto verificado por un tercero independiente.

Con Philips Azurion se ha logrado un gran avance en la mejora del flujo de trabajo, lo que da como resultado una eficiencia probada. Con el número cada vez mayor de pacientes con enfermedades aórticas, Azurion ofrece una serie de innovaciones de flujo de trabajo diseñadas para ayudar a los equipos de cirujanos vasculares a trabajar de manera eficiente y constante, mientras mantienen un enfoque único en el paciente y administran la dosis de radiación durante las intervenciones.

La ecografía intravascular (EIV) es una tecnología de imágenes basada en catéteres que permite a los médicos visualizar los vasos sanguíneos de adentro hacia afuera para ayudar a evaluar la presencia y el alcance de la enfermedad. La EIV ayuda a decidir, guiar y confirmar el tratamiento intervencionista adecuado para cada paciente.

Visualiza imágenes de alta definición de los vasos con un detalle vascular excepcional para apoyar las estrategias de tratamiento precisas, la navegación y el seguimiento.
Soluciones para los procedimientos de intervención en arteriopatías periféricas (APP) que ofrece la terapia guiada por imágenes de Philips.
Haga clic aquí para leer másLas soluciones para procedimientos venosos que ofrece la terapia guiada por imágenes de Philips.
Haga clic aquí para leer más Referencias
You are about to visit a Philips global content page
Continue