
La heterogeneidad de las lesiones y la falta de visibilidad limitan la calidad de las muestras, así como la viabilidad de las biopsias cuando se realizan mediante ecografía o TC convencional. Con la creciente adopción de programas de detección de enfermedades de pulmón, el cáncer de pulmón incipientes que se manifiesta como nódulos pequeños se han detectado con más frecuencia que nunca. Se observó que el 14,5 % de una población sometida a exámenes tenía nódulos ≤10 mm.1-2 Nuestra tecnología de navegación de agujas con CBCT aumenta la precisión, y permite focalizarse en lesiones más pequeñas (< = 1 cm) o heterogéneas con mayor precisión, con menos reposicionamiento de la aguja y con una dosis menor que con la TC convencional.1-2
en comparación con la TC convencional 1
menos reposicionamientos de la aguja en comparación con TC convencional 1
menos dosis en la piel en comparación con la TC convencional 1


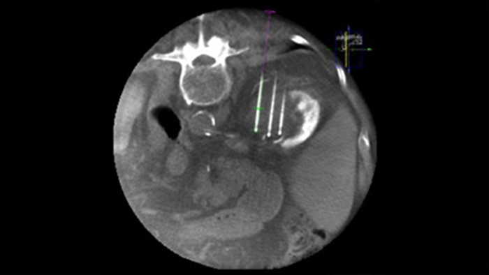
La ablación percutánea (radiofrecuencia, microondas y crioablación) es un tratamiento mínimamente invasivo bien establecido para los tumores de riñón, hígado, pulmón y hueso. Es fundamental definir los límites del tumor y decidir el número óptimo de agujas y la correspondiente trayectoria de estas para poder realizar un tratamiento completo del tumor y no causar daños en el tejido circundante. Navegar con precisión con baja dosis hasta la lesión de interés sin reposicionar la aguja aumenta las posibilidades de éxito y reduce el riesgo de complicaciones de las biopsias o ablaciones. La confirmación del punto final del tratamiento de ablación puede realizarse con imágenes en 3D mientras el paciente sigue en la mesa.

SmartCT Soft Tissue ofrece una técnica de adquisición mediante TC de haz cónico (CBCT) aumentada con guía paso a paso, visualización 3D avanzada y herramientas de medición; todo accesible en el módulo de pantalla táctil desde la mesa.

Dual View permite la superposición de una imagen 3D previa al procedimiento (TC/RM/PET) sobre una CBCT Dual 3D intraprocedimiento para visualizar mejor las lesiones y acceder a información crítica para la planificación de la trayectoria de la aguja.

XperGuide proporciona una guía de imagen en vivo de alta precisión de cada aguja a una posición determinada mediante la superposición de trayectorias preplanificadas con imágenes fluoroscópicas.3

Adquiera una CBCT posterior a la ablación para demostrar la extensión de la cobertura del tumor y confirmar la finalización de su tratamiento.
Soluciones para una orientación eficaz en el tratamiento y la toma de decisiones para la embolización tumoral ofrecidas por la terapia guiada por imágenes de Philips.
Conozca más Referencias * XperGuide Ablation es una función opcional de XperGuide
You are about to visit a Philips global content page
Continue