Para permitir que los equipos quirúrgicos se centren en el tratamiento de los pacientes, mantenemos una guía de imágenes avanzada lo más fácil y eficaz posible. La flexibilidad ilimitada del sistema permite su forma preferida de trabajar con posicionamiento libre en la cabecera. Nuestras herramientas de neurocirugía especializadas le permiten controlar firmemente cada paso de un procedimiento, a medida que decide, guía, trata y confirma los resultados.
La terapia guiada por imágenes de Philips ofrece la suite Neurovascular con una cartera flexible de tecnologías integradas, servicios y accesorios neurológicos que le permiten un firme control.
Conozca másLa terapia guiada por imágenes de Philips ofrece soluciones para procedimientos de columna vertebral que brindan una avanzada guía de imágenes en tiempo real con una excepcional flexibilidad del flujo de trabajo para el quirófano híbrido, que le permite realizar procedimientos rápidos, precisos y simplificados.
Conozca más
Esta técnica de adquisición de rayos X genera una vista completa en 3D de alta resolución de la vasculatura cerebral, cardíaca, abdominal o periférica a partir de una única serie de angiografía rotativa, todo ello controlado a través de la pantalla táctil de la mesa. Esto puede hacer que se vean mejor las características anatómicas enrevesadas o complejas que puede no apreciarse en una imagen 2D o una ASD.

SmartCT Soft Tissue ofrece una técnica de adquisición de tomografía de haz cónico (THC) aumentada con guía paso a paso, visualización 3D avanzada y herramientas de medición, todo accesible en el módulo de pantalla táctil desde la mesa. Para ayudarle a adquirir imágenes de THC correctas a la primera y agilizar su flujo de trabajo, se le guía a través de los pasos clave.

SmartCT Vaso proporciona imágenes 3D de alta resolución que revelan información clave sobre las estructuras vasculares cerebrales para apoyar la mayor evaluación espacial posible del contexto de los vasos.

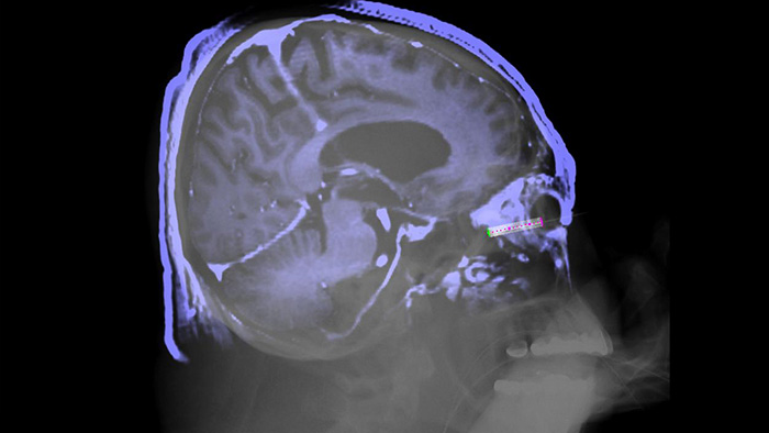
XperGuide ofrece una guía para la aguja con imágenes en 3D en directo, lo que le permite llevar los procedimientos con agujas percutáneas al quirófano híbrido. Superpone la fluoroscopia en vivo y los datos de imágenes de tejidos blandos en 3D de exploraciones de TC o RM previamente adquiridas o de Philips XperCT, y proporciona información sobre la trayectoria de la aguja y del objetivo.

AneurysmFlow está diseñado para ofrecerle información relevante antes y después de la implementación del desviador de flujo. Visualiza y cuantifica los cambios en el flujo para aumentar la confianza en la eficacia del procedimiento.

SmartCT Roadmap facilita intervenciones complejas porque proporciona una guía de imágenes en 3D en directo que puede segmentarse para resaltar el vaso y las lesiones objetivo, con lo que ayuda a la navegación a través de estructuras vasculares complejas. Todo ello controlado a través de la pantalla táctil de la mesa.

¿Necesita imágenes en un quirófano regular? Con las soluciones de arco en C móvil de Philips, puede obtener imágenes nítidas y detalladas de forma rápida y sencilla, para respaldar la toma de decisiones informadas durante los procedimientos ortopédicos, de tratamiento del dolor, vasculares y otros procedimientos quirúrgicos en el quirófano.
Referencias
You are about to visit a Philips global content page
Continue