Philips Zoom

Ultimate Protocol

Los dentistas profesionales disponen ahora de un protocolo específico para tratar la decoloración dental grave. El nuevo Philips Zoom Ultimate Protocol combina el blanqueamiento en consulta Philips Zoom WhiteSpeed con el tratamiento en casa Philips Zoom NiteWhite para lograr los mejores resultados de blanqueamiento.

Philips Zoom Ultimate Protocol
Superior results for the toughest stains

Resultados superiores para las manchas más difíciles

 

Philips Zoom Ultimate Protocol consiste en cuatro sesiones de 15 minutos con Philips Zoom WhiteSpeed, seguidas de dos o cuatro tratamientos en casa con Philips Zoom NiteWhite Maximum white para conseguir los resultados de blanqueamiento que desean los pacientes.

Estudio de casos exitoso


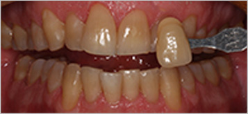
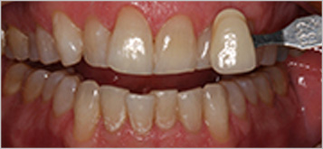
Nueve pacientes de de estudio de casos experimentaron de media una mejora de 11 tonos de la guía VITA¹ y dos pacientes lograron unos dientes 14 tonos más blancos gracias a Philips Zoom Ultimate Protocol. Mira el vídeo para obtener más información. 

 

1 Resultados de un estudio de casos; puede que no sean representativos de los resultados reales.

Case study success

Resultados demostrados

Before

Antes

After

Después

Para recibir instrucciones sobre el procedimiento y una descripción específica de Philips Zoom Ultimate Protocol, ponte en contacto con tu representante de ventas o llama al (800) 422-9448.

You are about to visit a Philips global content page

Continue
Suscríbase

Reciba nuestro newsletter

You are about to visit a Philips global content page

Continue
Suscríbase

Reciba nuestro newsletter

Nuestro sitio se puede visualizar mejor con la última versión de Microsoft Edge, Google Chrome o Firefox.