Blanqueamiento en casa tan único como tus pacientes

En lo que respecta al blanqueamiento, no hay una fórmula para todo el mundo. Ahora es más fácil que nunca encontrar el método adecuado para cada paciente. Hemos tomado nuestras fórmulas de calidad superior de Philips Zoom DayWhite y NiteWhite para rediseñarlas en torno a necesidades específicas de los pacientes. Lograrán la sonrisa inmaculada que desean con fórmulas eficaces, seguras y reconocidas en todo el mundo. 

• Jeringas de dos cilindros de 2,4 ml

• Sin refrigeración

Visita la biblioteca de recursos de Philips para descargar instrucciones del procedimiento, hojas de datos de seguridad de material, estudios clínicos y materiales de marketing.

 

* Las clínicas deberán recibir formación en zoomtraining.com de Philips para certificarse como proveedores de Philips Zoom WhiteSpeed

 

The ACP advantage

Ventajas de ACP


Philips Zoom es el único sistema de blanqueamiento profesional para uso en casa con ACP (fosfato cálcico amorfo). Además de blanquear, esta fórmula ofrece protección para el esmalte, reduce la sensibilidad y ayuda a mejorar el brillo. El blanqueamiento con ACP fortalece los dientes, aporta mayor comodidad y produce mejores resultados para los pacientes.

Hydrogen vs. carbamide peroxide

Peróxido de hidrógeno frente a peróxido de carbamida

 

El peróxido de hidrógeno y el peróxido de carbamida son los dos ingredientes más utilizados para el blanqueamiento dental. El peróxido de hidrógeno es muy potente en un corto periodo de tiempo y resulta la opción ideal para los pacientes que desean tratamientos breves. El peróxido de carbamida es peróxido de hidrógeno mezclado con urea, un ingrediente que prolonga la eficacia del peróxido en un periodo de tiempo más largo. Estas fórmulas son mejores para pacientes que prefieren usar las bandejas por la noche.

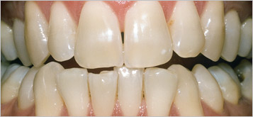
Before

Antes

After

Después

Endless Whitening Program

Productos de mantenimiento del blanqueamiento

 

Philips Sonicare DiamondClean: elimina las manchas superficiales para lograr una sonrisa más blanca en solo una semana y elimina siete veces más placa que un cepillo dental manual. Incluye un ajuste de blanqueamiento y el mejor cabezal de cepillado blanqueante de Sonicare.

Accesorios para el blanqueamiento en casa

Relief ACP

Relief® ACP

La única fórmula de doble acción aprobada por la FDA para el alivio de la sensibilidad.

Double Arch Tray Case

Funda para las bandejas de los dos arcos

Blanco perla

Whitening LED Accelerator Upgrade

Whitening LED Accelerator Upgrade

Incluye cabezal y fuente de alimentación del acelerador LED, gafas de seguridad y guía de luz.

You are about to visit a Philips global content page

Continue
Suscríbase

Reciba nuestro newsletter

You are about to visit a Philips global content page

Continue
Suscríbase

Reciba nuestro newsletter

Nuestro sitio se puede visualizar mejor con la última versión de Microsoft Edge, Google Chrome o Firefox.